Don't Spend a Fortune. Get
Your New Dental Implant in
Colombia

What Are the Benefits of Dental Implants in
Medellin?

  • Save up to 70% Compared to the Same Treatment in the US

  • Highly Professional Service

  • Get Your Teeth Treatment while Enjoying the Third Best City in the World to live in*

*According to Time Out and Forbes

images not found

Why So Many People Prefer Us For
Dental Implants

images not found

icon Boston, USA

I'd like to tell you about my wonderful experience at Dental Home over the last two years. Dr. Carlos Mario Betancourt is a highly professional and humane individual with a great sense of humour. When I visited his office READ MORE one morning, the first impression was the best, beginning with the hospitality and kindness of all his employees, because it truly feels like a family. Carlos provided me with excellent and painless dental care. In truth it was the best experience; while acknowledging everyone's professionalism, Alcira is my favorite, because he does some spectacular cleaning. I can get free cleaning where I live, but I prefer them even if I have to travel from Boston to Medellin.
SHOW LESS

images not found

icon Luxury Real Estate Specialist, USA

I came to Medellin, Colombia eight years ago for a vacation. I had always heard about the great quality of medical and dental care in Colombia. Dental Home and Dr Carlos Betancourt was recommended highly.After years READ MORE of not finding a good dentist in Miami, I was very fortunate to have Dr. Betancourt work on my teeth in Medellin. After months of treatment, my smile started looking great. He had fixed all my issues with my teeth at a very fair, reasonable price. His professionalism and skill has made me look forward to going to the dentist again.I have been a client for eight years and have referred numerous friends to dental home. Many see the value of coming to Medellin to take care of all of their dental needs. It is a perfect way to take a vacation and get great dental work. I highly recommend Dental Home to anybody that is looking for a great dentist.
SHOW LESS

images not found

icon Independiente, USA

First of all I want to thank the Dental Home staff
for their excellence in their work and
professionalism.
I was super happy with my smile design.
Thank you.

First of all I want to thank the Dental Home staff for their excellence in their work and professionalism. I was super happy with my smile design. Thank you.

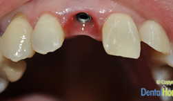
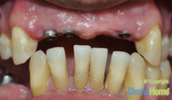
Our Services On All Types
Of Dental Implants

All On Four Implants, are implants used for cases where patients have had full dentures and have permanent issues with mobility, which prevents them from chewing all foods easily and mispronounce words, that is why this system has 4 completely fixed implanted dentures that allows the client to bite and speak with more confidence, improve self-esteem. Also this system improves dental and facial aesthetics while being able to enjoy food more.
  • Life changing procedure

  • Regain your full smile

  • Eat again without pain

  • Denture Permanently Fixed With Implants

  • Minimally invasive procedure

  • Less pain and swelling

  • No more ill-fitting dentures and adhesives

  • Teeth are secure like your natural teeth

FREE CHAT CONSULTATION
images not found
images not found
images not found

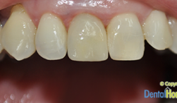
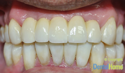
Smile Makes the World a Better Place

Check out some of the transformations we brought to the life of some of our patients

BEFORE image not found AFTER

images not found
images not found

BEFORE image not found AFTER

images not found
images not found

BEFORE image not found AFTER

images not found
images not found

BEFORE image not found AFTER

images not found
images not found

Read why our patients love us. We go above and beyond to deliver upon our promise of quality care.

B

Barel Taig

5 Reviews

5 star 2 months ago

They are perfect. I came form a different country just firm them Dr. Carlos was with me on the phone all the time explain to everything and even offered help if needed in town with anything. Also Dr. Sebastian is the best I spent a lot of hours with him in the clinic he is just perfect, Know what he is doing and working with a lot of care The whole clinic is amazing and friendly.

C

Charles Jordan

1 Reviews

5 star a months ago

Everything was excellent, i came in from miami to have the extraction of my wisdom tooth that had been a problem for awhile. Doctora July was great as was all the staff. With limited spanish I was happy to see that we all communicated well. Going to the dentist was a pleasure with the professional staff and highly experienced dentisa .....I highly recommend Dental Clinic Home and the staff in Medellin's Unicentro Mall 4th floor....

S

S D Cruz

5 Reviews

5 star 5 months ago

This place is the real deal. I mean from the time you step in the clinic the staffs are welcoming and understanding with the language barrier. The dentists are straight to the point and focus on giving you the best work that need to be done to give you the best smiles. I’m glad I came here because the work they did to my 2 front teeth is a work of art. I definitely recommend this clinic if you’re looking for quality work.

i

Israel O

1 Reviews

5 star 6 months ago

I came in for a cleaning with Dr. Juliana. She handled the procedure very well and professional. Any questions or concerns I had were answered promptly. I will book my next appointment here again. Excellent service.

j

Jes Jeremie

1 Reviews

5 star a months ago

I had a really good experience with dental home. Came in for a cleaning and zoom whitening. I definitely recommend!

a

Andres

5 Reviews

5 star 5 months ago

The service here was excellent! I didn’t have to wait very long and the dental cleaning left my teeth looking amazing! I will be returning in the future

Check all the Google Reviews HERE

Meet The Team

images not found

Dr. Carlos Mario

21 Years Of Experience

images not found

Dr. Carolina Gallego

15 Years Of Experience

images not found

Dr. Velásquez

25 Years Of Experience

images not found

Dr. Diego Alejandro

23 Years Of Experience

images not found

Dr. Jaime Vargas

25 Years Of Experience

images not found

Dr. July Villegas

15 Years Of Experience

images not found

Dr. Juliana Ochoa

12 Years Of Experience

images not found

Dr. Paola Álvarez

20 Years Of Experience

images not found

Dr. Paola Palacio

20 Years Of Experience

images not found

Dr. Sebastián Martínez

13 Years Of Experience

images not found

Higienista Sandra Milena Ciro Baena

7 Years Of Experience

Copyright 2026 © Local Dental Implants | Terms & Conditions | All Rights Reserved